Καλοηθεις

Παθησεις

Στομαχου

Πεπτικό Έλκος

Υπάρχουν 2 οντότητες πεπτικού έλκους
1)Έλκος στομάχου
2)Έλκος δωδεκαδακτύλου

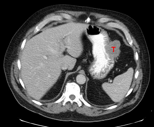
Στρωματικοι όγκοι-GIST

Οι στρωματικοι όγκοι ανήκουν στους μεσεγχυματικους όγκους και απαντώνται στο γαστρεντερικό σύστημα.Ειναι σπάνιοι και προέρχονται από τα πολυδύναμα βλαστικά κύτταρα .Κατα 50-60% απαντώνται στον στον στόμαχο .Θεωρούνται δυνητικά κακοήθεις όταν ξεπερνούν τα 5 εκατοστά.

πεπτικο ελκος

Πρόκειται για διάβρωση της βλενογονιας στιβάδας η και της υποβλενογονιας η μυικης στιβάδας .Διαταραχές μεταξύ έκκρισης οξέος και γαστρινης καθώς και των αμυντικών μηχανισμών του βλενογονου δημιουργούν το έλκος.
Πάντα πρέπει να λαμβάνεται υπόψη η πιθανότητα ύπαρξης κακοήθειας ,γι'αυτο τον λόγο να λαμβάνονται βιοψίες από τον πυθμένα του έλκους.
Το ελικοβακτηρίδια του πυλωρου ,τα μη στεροειδή αντιφλεγμονώδη φάρμακα και οι συνήθειες του τρόπου ζωής (stress,αλκοολ) αυξάνουν τις πιθανότητες δημιουργίας του έλκους.
Συμπτώματα
Επιγασρικος καυσος(καούρα),επιγαστραλγια.Η λήψη τροφής επιδεινώνει τα συμτωματα στο γαστρικό έλκος ένα απαλύνει τον πόνο στο δωδεκαδακτυλικο έλκος.
Ο πόνος μπορεί να συνοδεύεται από εμετούς ,ναυτία η και απώλεια βάρους.

Η καλύτερη διαγνωστική εξέταση είναι η ενδοσκόπηση του ανώτερου πεπτικού, με λήψη βιοψιών για αποκλεισμό κακοήθειας.Θα πρέπει πάντα να γίνεται έλεγχος για ελικοβακτηρίδια του πυλωρου.
Η θεραπεία έγκειται στην εκρίζωση του ελικοβακτηριδιου ,και αντικκριταγωγων φαρμάκων όπως οι αναστολείς της αντλίας πρωτονίων.Συνισταται η ενδοσκοπική παρακολούθηση του πεπτικού έλκους μέχρι της επούλωσης του πράγμα που δεν συμβαίνει εάν υποκρύπτεται κακοήθεια.
Χειρουργική Θεραπεία
-αποτυχία συντηρητικής αγωγής (8 εβδομάδες)
-υποτροπή έλκους υπό αγωγή
-εμφάνιση επιπλοκών όπως αιμορραγία ,διάτρηση ,απόφραξη
Οι επεμβάσεις είναι πολλές και συνίστανται σε διατομή των πνευμονογαστρικων (βαγοτομη) με σύνοδο παροχετευτικης επέμβασης του στομάχου.
Αντιμετώπιση επιπλοκών
Η αιμορραγία από πεπτικό έλκος έχει θνητότητα 5-10%.Συνήθως αντιμετωπίζεται ενδοσκοπικά .
Η διάτρηση συνήθως αντιμετωπίζεται χειρουργικά ,συρραφή και επιπλοοπλαστικη του διατρηθεντος έλκους.
Η πυλωρικη στένωση συνήθως αντιμετωπίζεται ενδοσκοπικά.

Στρωματικοι ογκοι

Οι στρωματικοι όγκοι ανήκουν στους μεσεγχυματικους όγκους και απαντώνται στο γαστρεντερικό σύστημα.Ειναι σπάνιοι και προέρχονται από τα πολυδύναμα βλαστικά κύτταρα .Κατα 50-60% απαντώνται στον στον στόμαχο .Θεωρούνται δυνητικά κακοήθεις όταν ξεπερνούν τα 5 εκατοστά.
Όταν είναι κακοήθεις δίνουν μεταστάσεις αιματογενως (ήπαρ ,περιτοναιο) η από αποπτωση κυττάρων .
Τα συμτωματα είναι : προεξάρχον η αιμορραγία και άτυπα όπως ναυτία ,εμετοί ,δυσφορία ,αίσθημα κορεσμού .
Η κυρίως διαγνωστική εξέταση είναι η οισοφαγογαστροσκοπηση, αξονική τομογραφία η και ενδοσκοπικό υπερηχογράφημα.
Η θεραπεία είναι χειρουργική συν την ιματινιμπη (αναστλεας BRC-ABL ογκοπρωτεινης ) η οποία χρησιμοποιειτα κυρίως στη χρόνια μυελογενή λευχαιμία,και η οποία έφερε επανάσταση στις μεταστάσεις από στρωματικους όγκους .
Η συνεχής παρακολούθηση μετά την χειρουργική εξαίρεση είναι αναγκαία .

Νοσηλεια

Ο ασθενής δεν είναι παθητικός αποδέκτης ιατρικών αποφάσεων αλλά ενημερωμένος εταίρος στη θεραπευτική διαδικασία.
Κάθε παροχή φροντίδας έχει και τον οφειλόμενο σεβασμό στην ανθρώπινη αξιοπρέπεια .Ο ασθενής έχει το αναφαίρετο δικαίωμα να συγκατατεθεί η να αρνηθεί σε κάθε διαγνωστική η θεραπευτική πράξη.
Το νοσηλευτικό προσωπικό είναι 4ετους πανεπιστημιακής φοιτήσεως ,πεπειραμένο να προσφέρει οιαδηποτε νοσηλευτική φροντίδα.