Παγκρεατιτις

Λιγα λογια



Για την Παγκρεατιτιδα
Προκειται για μια οξεια φλεγμονη του παγκρεατος,αλλοτε ηπια και αλλοτε σοβαρη,κατασταση που μπορει να δημιουργησει επικυνδυνες επιπλοκες απο το παγκρεας αλλα και
τα γειτνιαζοντα οργανα.
Ειναι παθηση που χρηζει αμμεσης νοσηλειας ,διοτι οι πρωτες 48 ωρες ειναι καθοριστικες για την εκβαση της νοσου.


Τι ειναι το παγκρεας

Το πάγκρεας είναι ένα όργανο, και πιο συγκεκριμένα ένας αδένας, που βρίσκεται πίσω από το στομάχι. Είναι απαραίτητο για την καλή λειτουργία του οργανισμού. Στην πραγματικότητα έχει δύο κύριες αποστολές. Ρυθμίζει τα επίπεδα σακχάρου στο αίμα, κυρίως με την παραγωγή ινσουλίνης. Παράγει επίσης πεπτικά ένζυμα που συμμετέχουν στην πέψη των λιπιδίων, των υδατανθράκων και των πρωτεϊνών. Κανονικά, αυτά τα ένζυμα γίνονται ενεργά μόνο όταν φτάσουν στην πεπτική οδό, προκειμένου να ξεκινήσουν το έργο της πέψης. Όταν ένα άτομο έχει παγκρεατίτιδα, αυτά τα πεπτικά ένζυμα θα ενεργοποιηθούν ενώ βρίσκονται ακόμη στο πάγκρεας.

Ποιοι είναι οι τύποι φλεγμονής του παγκρέατος;

Οξεία παγκρεατίτιδα
Η οξεία παγκρεατίτιδα είναι μια ξαφνική φλεγμονή του παγκρέατος. Εμφανίζεται μέσα σε λίγες ώρες ή λίγες ημέρες. Στο 80% των περιπτώσεων, υποχωρεί αυθόρμητα.

Χρόνια παγκρεατίτιδα
Η χρόνια παγκρεατίτιδα είναι η παρατεταμένη φλεγμονή του παγκρέατος. Ορίζεται από μια διαδοχή κρίσεων οξείας παγκρεατίτιδας που συμβαίνουν τακτικά για αρκετά χρόνια.

Τι προκαλεί την παγκρεατίτιδα;


Δύο αιτίες κυρίως υπάρχουν , η πηγή της συντριπτικής πλειοψηφίας των κρίσεων οξείας παγκρεατίτιδας ειναι:

Οι χολόλιθοι: οι οποίοι μπορούν να φράξουν τον χοληδόχο πόρο, ο οποίος βρίσκεται μεταξύ της χοληδόχου κύστης και του παγκρέατος, και να εμποδίσουν τη ροή του παγκρεατικού υγρού.
Η υπερβολική κατανάλωση αλκοόλ: το αλκοόλ βλάπτει τα παγκρεατικά κύτταρα που παράγουν ένζυμα.
Πιο σπάνια, άλλα στοιχεία μπορεί να εμπλέκονται στην εμφάνιση παγκρεατίτιδας, όπως:

μια λοίμωξη όπως η ιογενής ηπατίτιδα ή η παρωτίτιδα.
επιπλοκές μετά από χειρουργική επέμβαση.
λήψη ορισμένων φαρμάκων, όπως η πενταμιδίνη,
διδανοσίνη ή ακόμα και τα διουρητικά?
Ο καρκίνος του παγκρέατος, ή τραύμα στην κοιλιακή χώρα.


Ποια είναι τα σημάδια της παγκρεατίτιδας: πόνος, συμπτώματα;

Το κύριο σύμπτωμα της παγκρεατίτιδας είναι ο έντονος πόνος στο στέρνο, ο οποίος επιμένει μόνιμα. Στην πλειονότητα των περιπτώσεων, αυτός ο πόνος ακτινοβολεί στην πλάτη και στα αριστερά της κοιλιάς. Αυτό το σύμπτωμα μπορεί να συνοδεύεται από ναυτία και έμετο. Στις πιο σοβαρές περιπτώσεις παγκρεατίτιδας, παρατηρούμε τα ακόλουθα σημάδια:

ταχυκαρδία
υπόταση
Ρηχή, σπασμωδική αναπνοή
ελαφρύς πυρετός
σύγχυση και αποπροσανατολισμός

Πώςγινεται η διάγνωση για την παγκρεατίτιδα;

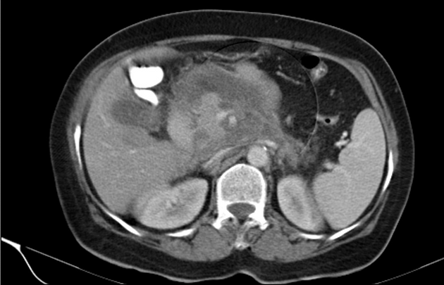
Είναι σημαντικό να πάτε στα επείγοντα αμέσως μόλις εμφανιστούν τα πρώτα συμπτώματα παγκρεατίτιδας. Ο γιατρός μπορεί στη συνέχεια να πραγματοποιήσει εξετάσεις για να ανιχνεύσει εάν τα επίπεδα των πεπτικών ενζύμων, των σακχάρων, του ασβεστίου και των λιπιδίων στο αίμα είναι πολύ υψηλά. Μια αξονική τομογραφία, η οποία είναι μια ακτινολογική εξέταση, μπορεί επίσης να συστηθεί για να απεικονίσει το οίδημα του παγκρέατος και/ή τη συσσώρευση υγρού. Τέλος, μια μαγνητική τομογραφία μπορεί να εντοπίσει την παρουσία χολόλιθων.

Πώς αντιμετωπίζεται μια κρίση παγκρεατίτιδας: ποιες είναι οι θεραπείες;

Σε όλες τις περιπτώσεις, η παγκρεατίτιδα οδηγεί τον ασθενή σε νοσηλεία. Κατά την άφιξη, ο ασθενής τοποθετείται σε ορούς και του χορηγούνται παυσίπονα και αντιβιοθεραπεια. Επίσης είναι σε νηστεία για να ξεκουραστεί το πάγκρεας. Στη συνέχεια, η υποστήριξη θα διαφέρει από το αν είναι οξεία η χρόνια .

Ποια θεραπεία για την οξεία παγκρεατίτιδα;
Στην πλειονότητα των περιπτώσεων οξείας παγκρεατίτιδας, υποχωρεί αυθόρμητα. Εάν ένας χολόλιθος είναι η αιτία της παγκρεατίτιδας και δεν υποχωρεί από μόνος του, είναι δυνατή η αφαίρεσή του με ενδοσκόπηση. Στη συνέχεια, η χοληδόχος κύστη μπορεί επίσης να αφαιρεθεί. Οι ημέρες νοσηλείας εξαρτώνται από πολλούς παράγοντες καθώς και η έκβαση της νόσου.Η εμπλοκή του χειρούργου είναι σπάνια.

Ποια θεραπεία για τη χρόνια παγκρεατίτιδα;
Η χρόνια παγκρεατίτιδα συνδέεται γενικά με τον χρόνιο αλκοολισμό. Αρχικά, πρέπει να εφαρμοστεί η στέρηση του αλκοόλ. Στη συνέχεια, είναι δυνατό να απεμπλακεί ο παγκρεατικός πόρος, εάν είναι απαραίτητο με την τοποθέτηση μιας πρόθεσης. Μπορεί τελικά να συνταγογραφηθεί μια φαρμακευτική θεραπεία για τη διαχείριση μιας συγκέντρωσης γλυκόζης που είναι πολύ υψηλή στο αίμα.

Πώς να προλάβετε την παγκρεατίτιδα;

Είναι δυνατό να αποφευχθεί η εμφάνιση χολόλιθων που είναι η αιτία ορισμένων παγκρεατίτιδων με μια ισορροπημένη διατροφή και τακτική σωματική δραστηριότητα. Το υπερβολικό βάρος και η παχυσαρκία είναι πράγματι δύο σημαντικοί παράγοντες κινδύνου. Επιπλέον, είναι απαραίτητο να περιορίσετε την κατανάλωση αλκοόλ και καπνού, επειδή αυτές οι ουσίες βλάπτουν την καλή λειτουργία του παγκρέατος.


Νοσηλεια

Ο ασθενής δεν είναι παθητικός αποδέκτης ιατρικών αποφάσεων αλλά ενημερωμένος εταίρος στη θεραπευτική διαδικασία.
Κάθε παροχή φροντίδας έχει και τον οφειλόμενο σεβασμό στην ανθρώπινη αξιοπρέπεια .Ο ασθενής έχει το αναφαίρετο δικαίωμα να συγκατατεθεί η να αρνηθεί σε κάθε διαγνωστική η θεραπευτική πράξη.
Το νοσηλευτικό προσωπικό είναι 4ετους πανεπιστημιακής φοιτήσεως ,πεπειραμένο να προσφέρει οιαδηποτε νοσηλευτική φροντίδα.