Σκωληκοειδιτιδα

Σκωληκοειδιτιδα

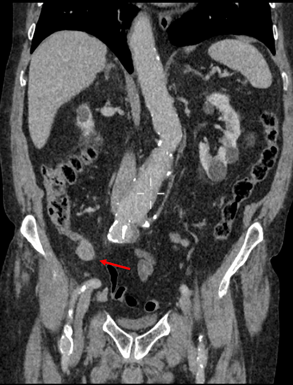
Η σκωληκοειδίτιδα είναι η φλεγμονή της σκωληκοειδούς απόφυσης, ενός μικρού τμηματος στην αρχή του παχέος εντέρου, που προκαλεί πόνο στην κάτω δεξιά κοιλιά, ναυτία, έμετο και πυρετό, απαιτεί άμεση χειρουργική αντιμετώπιση (σκωληκοειδεκτομή) για την αποφυγή σοβαρών επιπλοκών όπως η περιτονίτιδα, και συνήθως εμφανίζεται σε εφήβους και νεαρούς ενήλικες

Τι είναι η Σκωληκοειδής Απόφυση
Είναι ένα μικρό, σωληνοειδές όργανο (μήκους 5-10cm) στην αρχή του παχέος εντέρου (τυφλό), κοντά στη σύνδεσή του με το λεπτό έντερο.
Στην παιδική ηλικία έχει αμυντικό ρόλο (λεμφικός ιστός), αλλά στην ενήλικη ζωή δεν έχει ξεκάθαρη λειτουργία και η αφαίρεσή της δεν επηρεάζει την υγεία.
Αίτια
Η πιο συχνή αιτία είναι η απόφραξη (π.χ., από κοπρόλιθο, διόγκωση λεμφαδένων) που οδηγεί σε μικροβιακή λοίμωξη και φλεγμονή.
Συμπτώματα
Πόνος: Ξεκινά συνήθως γύρω από τον ομφαλό και μετατοπίζεται σταδιακά στην κάτω δεξιά κοιλιά.
Συνοδά συμπτώματα: Ανορεξία, ναυτία, εμετοί, χαμηλός πυρετός.
Σημαντικό σημείο: Ο πόνος στην κάτω δεξιά κοιλιά (σημείο McBurney) είναι κλινικά αξιόπιστος.
Διάγνωση
Κλινική εξέταση (ψηλάφηση).
Εργαστηριακές εξετάσεις (αυξημένα λευκά αιμοσφαίρια).
Απεικονιστικές εξετάσεις: Υπερηχογράφημα κοιλίας, και αν χρειαστεί, αξονική τομογραφία κοιλίας για επιβεβαίωση.
Θεραπεία
Αποτελεί επείγουσα χειρουργική κατάσταση, συνήθως με λαπαροσκοπική σκωληκοειδεκτομή (αφαίρεση της σκωληκοειδούς απόφυσης).
Η άμεση παρέμβαση είναι κρίσιμη για να αποφευχθούν επιπλοκές όπως η περιτονίτιδα (φλεγμονή της περιτοναίας).
Σημαντικό: Αν υποψιάζεστε σκωληκοειδίτιδα, αναζητήστε άμεσα ιατρική βοήθεια.

κακοηθεις ογκοι σκωληκοειδους

Οι κακοήθεις όγκοι της σκωληκοειδούς απόφυσης είναι συνήθως νευροενδοκρινείς όγκοι (καρκινοειδή) ή σπανιότερα αδενοκαρκινώματα (βλεννώδη, τύπου παχέος εντέρου), τα οποία συχνά είναι μικρά, ασυμπτωματικά και διαγιγνώσκονται τυχαία μετά από σκωληκοειδεκτομή, αλλά οι μεγαλύτεροι (>2cm) ή οι πιο επιθετικοί υπότυποι (π.χ. signet ring cells) απαιτούν πιο ριζική χειρουργική επέμβαση, όπως η δεξιά κολεκτομή, για πλήρη αντιμετώπιση.
Συνηθέστεροι τύποι:
Καρκινοειδή (Νευροενδοκρινείς Όγκοι - NETs): Οι πιο συχνοί (περίπου 50%), προέρχονται από νευροενδοκρινικά κύτταρα, παράγουν ορμόνες, είναι αρχικά αργής ανάπτυξης και συνήθως εντοπίζονται στην άκρη της απόφυσης.
Αδενοκαρκινώματα: Σπανιότερα, ξεκινούν από την εσωτερική επένδυση της απόφυσης (επιθήλιο) και περιλαμβάνουν:
Βλεννώδη (Mucinous): Παράγουν βλέννα, δεύτερος πιο συχνός τύπος.
Τύπου παχέος εντέρου: Μοιάζουν με καρκίνο ορθού/παχέος εντέρου.
Signet Ring Cell Carcinoma: Επιθετικός υπότυπος με κακή πρόγνωση.
Αδενοκαρκινοειδές (Goblet Cell Tumor): Μικτό χαρακτηριστικό νευροενδοκρινικού και αδενοκαρκινώματος.
Συμπτώματα:
Συχνά ασυμπτωματικά, διαγιγνώσκονται τυχαία μετά από επέμβαση για σκωληκοειδίτιδα.
Όταν εμφανίζουν συμπτώματα, μιμούνται την οξεία σκωληκοειδίτιδα (πόνος κάτω δεξιά κοιλιά).
Προχωρημένα συμπτώματα: πόνος/πλήρως στην κοιλιά, φούσκωμα, αλλαγές εντέρου, απώλεια βάρους, ψηλαφητή μάζα, ασκίτης (υγρό στην κοιλιά).
Θεραπεία:
Μικροί όγκοι (<2cm), καρκινοειδή στην κορυφή: Απλή σκωληκοειδεκτομή (αφαίρεση απόφυσης) είναι συχνά επαρκής.
Μεγαλύτεροι όγκοι (>2cm), όγκοι στη βάση, επιθετικοί υπότυποι: Απαιτείται ριζικότερη επέμβαση, συνήθως δεξιά κολεκτομή (αφαίρεση τμήματος παχέος εντέρου).
Βλεννώδεις όγκοι με ρήξη (Ψευδομύξωμα περιτοναίου): Απαιτεί εκτεταμένη έκπλυση κοιλίας και ενδοπεριτοναϊκή υπέρθερμη χημειοθεραπεία (HIPEC).
Η έγκαιρη διάγνωση και η κατάλληλη χειρουργική αντιμετώπιση από έμπειρους χειρουργούς εξασφαλίζουν την ίαση.

Νοσηλεια

Ο ασθενής δεν είναι παθητικός αποδέκτης ιατρικών αποφάσεων αλλά ενημερωμένος εταίρος στη θεραπευτική διαδικασία.
Κάθε παροχή φροντίδας έχει και τον οφειλόμενο σεβασμό στην ανθρώπινη αξιοπρέπεια .Ο ασθενής έχει το αναφαίρετο δικαίωμα να συγκατατεθεί η να αρνηθεί σε κάθε διαγνωστική η θεραπευτική πράξη.
Το νοσηλευτικό προσωπικό είναι 4ετους πανεπιστημιακής φοιτήσεως ,πεπειραμένο να προσφέρει οιαδηποτε νοσηλευτική φροντίδα.